KLINISCHE FÄLLE

Enisa

Über das Verfahren

Enisa lebt und arbeitet in Wien, aber sie hat beschlossen, ihr neues Lächeln dem Team der Digital Smile Academy anzuvertrauen. Ein neues Lächeln strahlt eine ganz neue Energie aus, aber lassen wir die Bilder lauter sprechen als Worte.

Behandlungen

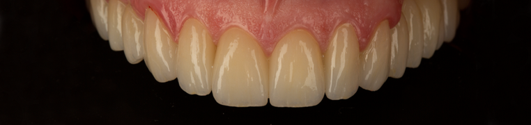
Fotos vor und nach dem Eingriff

teeth_BEFORE teeth_AFTER

Fotos der Patienten vor und nach dem Eingriff

In der Digital Smile Academy folgen wir Welttrends, verfügen über eine führende Technologie und bilden uns kontinuierlich fort, um dem Patienten zu einem strahlenden Lächeln zu verhelfen.

Die Digital Smile Academy ist die führende Klinik für Implantologie und Prothetik in Kroatien mit über 25 Jahren Erfahrung, mehr als 60.000 Patienten und über 98 % Effizienz der Installation von Zahnimplantaten. Das ist genug Motivation, um sich Menschen anzuschließen, denen wir ein schönes und gesundes Lächeln zurückgegeben haben.

Ähnliche klinische Fälle

Erfahrung und Fachwissen der Ärzte

In der Digital Smile Academy folgen wir den Welttrends, verfügen über eine führende Technologie und bilden uns kontinuierlich fort, um dem Patienten zu einem strahlenden Lächeln zu verhelfen.

Dr. med. dent. Marko Vukić

Wir können Ihnen helfen. Rufen Sie +385 1 557 14 00 an oder kontaktieren Sie uns per E-Mail.

Standort

Öffnungszeiten der Klinik

Montag bis Freitag von 08.00 bis 21.00 Uhr
Samstag von 08.00 bis 12.00 Uhr

Telefon
+385 1 5571 400

WhatsApp / Viber
+385 92 376 6679

E-mail
info@dsa.clinic

Kontaktieren Sie uns

Über uns

Unternehmen

Adresse: Dobriše Cesarića 47, 10090 Zagreb, Kroatien
VAT/OIB: 78764482188
MB: 4767942
MBS: 081113666
IBAN: HR3724840081135046153, Raiffeisenbank Austria d.d.
Vorsitzender: Marko Vukić