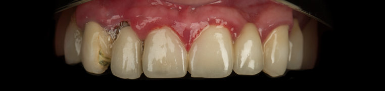
ure kam auf Empfehlung eines Freundes zu uns und hat es nicht bereut. Seine abgenutzte Brücke und die Funktion wurden von Dr. Malić und seinem Team mit einer All-on-4-Behandlung verbessert. In nur 48 Stunden haben wir ein wunderschönes Lächeln, Funktionalität und Sicherheit erreicht.


