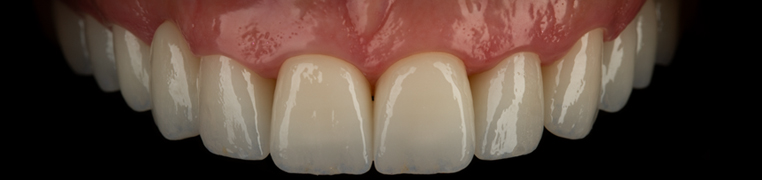
Wenn wir sagen, dass es eine Transformation ist, die in Erinnerung bleibt, dann meinen wir das auch so! Mirjanas Transformation zeigt, was entsteht, wenn Erfahrung, Ideen und Wissen zusammenkommen.
Ein Dankeschön an unser Dentalzentrum Vukić, das jede Idee von Dr. Zavadlav in die Realität umgesetzt hat. Zirkonkronen haben noch nie schöner ausgesehen, und unsere Mirjana hat nun ein einzigartiges Lächeln, das sogar auf Fotos Freude verbreitet.


