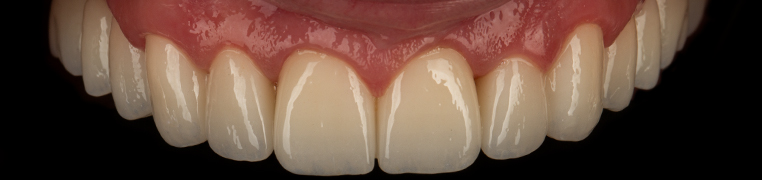
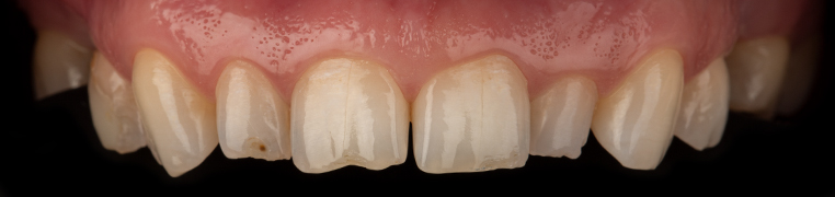
Patricija kam aufgrund einer Empfehlung in unsere Klinik. Nach einer detaillierten Diagnose weisen wir sie an, mit einer kieferorthopädischen Therapie zu beginnen, um bessere Beziehungen zwischen den Kiefern zu erreichen. Nach der kieferorthopädischen Therapie rundeten wir die ganze Geschichte mit Zirkonkronen ab und schenkten Patricija ein wunderschönes Lächeln. :)


