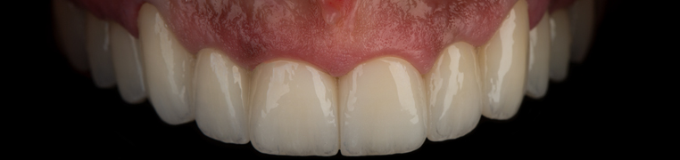
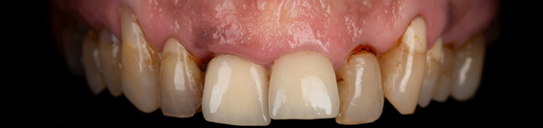
Vesna je draga, dolgoletna pacientka Dr. Vukić, ki nam je ponovno izkazala svoje zaupanje, ko se je odločila za preobrazbo nasmeha.
Pot do Vesninega novega nasmeha je bila kratka in prijetna. Po skrbnem načrtovanju Dr. Grbavac Jagarić in z uporabo Digital Smile Designa, ki je prikazal, kako bo Vesnin nasmeh videti, smo hitro začeli z delom. Spretne roke naših tehnikov v Dental Centar Vukić so poskrbele, da so tudi te cirkonijeve krone v obeh čeljustih izpolnile naša in Vesnina pričakovanja.


