Clinical case

Marko

About the procedure

Marko chose Digital Smile Academy for the makeover of his smile. In return, our team created a beautiful smile that suits him perfectly! Marko, thank you for your trust! 🙂

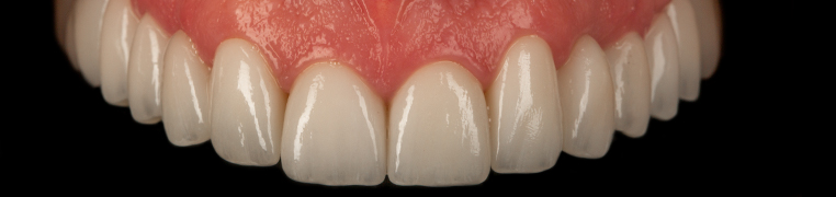
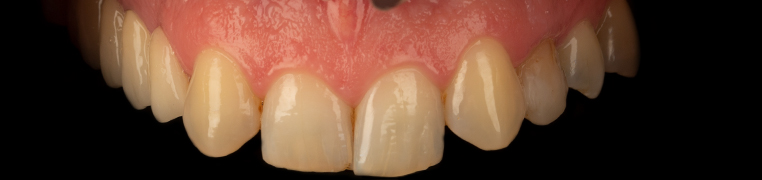
Photos before and after the procedure

zubbefore zubafter

Smile photos before and after the procedure

At Digital Smile Academy we are up to date with the latest trends and technology, we never stop learning so we can create the most beautiful smile for our patients.

Digital Smile Academy is the leading clinic for implantology and dental prosthetic in Croatia with a 25-year long experience and over 60.000 patients. Our 98% success rate is the reason enough for you to join us and bring beautiful and healthy smile back on your face.

Similar clinical cases

Experience and Expertise of Our Doctors

At Digital Smile Academy we are up to date with the latest trends and technology, we never stop learning so we can create the most beautiful smile for our patients.

Marko Vukić, Doctor of Dental Medicine

We can help you. Call +385 1 557 14 00 or send an e-mail.

Location

Opening hours

Monday – Friday from 08:00am to 9:00 pm
Saturday from 08:00am to 12:00pm

Telephone
+385 1 5571 400

WhatsApp / Viber
+385 92 376 6679

E-mail
info@dsa.clinic

Contact Us

About

Company

Digital smile d.o.o.
Address: Dobriše Cesarića 47, 10090 Zagreb, Croatia
VAT/OIB: 78764482188 
MB: 4767942
MBS: 081113666
IBAN: HR3724840081135046153, Raiffeisenbank Austria d.d.
CEO: Marko Vukić