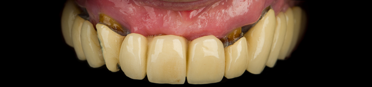
Worn-out bridges and poor abutments were rehabilitated by our Dr. Kristina Čukelj with an All-on work in both jaws, giving Mr. Zijad a brand new smile in just 48 hours.
A new smile in less than two days is the result of the teamwork of the entire Digital Smile Academy and our Dental Center Vukić.
Thank you to Mr. Zijad and his family for their trust – we already know he’s spreading joy with his new smile!


